星洲日报,活力副刊,养生,盛晓峰,脑动脉,脑动脉破裂蛛网膜下腔出血,缺血性中风,中风

脑动脉破裂蛛网膜下腔出血 可导致缺血性中风

阿末,42岁,正在为博士论文奋战的尼日利亚籍学生,因脑动脉爆裂造成珠网膜下腔出血,手术成功但逃不过严重疾病的恶化和术后后遗症,最终撒手人寰。

 

据阿末的家人说,阿末是一位勤勉好学的学生,为了完成博士论文常常通宵达旦不眠不休,好不容易论文终告杀青,他却在提呈论文途中突然昏倒在台上,把周围的人吓了一大跳。

5分钟后阿末缓缓甦醒,校方召了救护车,火速把他送到医院。

在医院时阿末已完全清醒,他告诉医生说昏倒前他突然感到一阵仿如雷击般的激烈头痛(thunderclap headache),接着失去意识,甦醒后头痛稍微减缓,但却伴随恶心和呕吐现象。

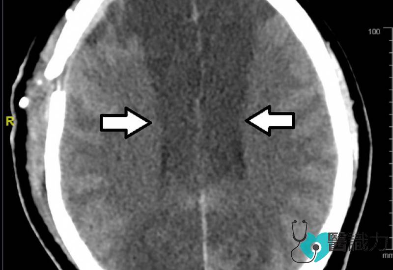
脑部断层扫描显示,阿末的珠网膜下腔出血,严重的出血性中风造成激烈头痛和突然昏厥。以中风病人来说,42岁的阿末属于年轻病人,造成年轻病人出血性中风的原因离不开动脉瘤血管爆裂。

爆裂的动脉瘤血管不偏不倚刚好在靠近视觉神经交叉点的位置,这个部位有很多重要的器官,包括控制贺尔蒙的脑垂体(brain pituitary)。我告诉阿末的家人,他的情况危殆,必须进行血管内栓塞术(endovascular embolization)或开颅置入钛质血管夹,如不治疗,有很大的可能性72小时内动脉瘤血管会再次爆裂,性命难保。

阿末是外籍人士,医药费对他和家人是一笔沉重的负担,因为考虑到血管内栓塞术的医疗费比开颅置入钛血管夹高出几倍,所以他们最终选择了开颅手术。

手术进行了3小时,一切顺利,医疗团队松了一口气,阿末的家人也放下心头大石。

但天不如人愿,术后第三天可怕的后遗症爆发了──虽然事前做足了防范措施,但阿末依然出现严重的血管痉挛(vasospasm),引发术后缺血性中风。由于发生痉挛的是主要的脑血管,受影响的范围很广,很快地阿末的瞳孔开始放大,脑下垂体严重缺氧,体内各器官也开始失调,盐分滞留体内,血钠节节高升,导致癫痫和脑肿。

阿末最终敌不过死神,在术后第5天与世长辞,死因是心脏衰竭和严重出血性中风。

血管痉挛导致缺血性中风
左图:脑动脉破裂导致蛛网膜下腔出血;右图:严重血管痉挛(vasospasm)导致缺血性中风。

 

问:为什么阿末在手术后会发生缺血性中风?
答:
严重的珠网膜下腔出血病人可能在手术后面对各种后遗症,包括脑周围血管收缩而导致血管痉挛(vasospasm),引发术后缺血性中风。病人越年轻,发生术后缺血性中风的几率越高。没有做手术的珠网膜下腔出血病人,也可能因周围血块发炎而导致血管痉挛,引发缺血性中风。

 

盛晓峰(Dr. Sia Sheau Fung)
盛晓峰(Dr. Sia Sheau Fung),马大医药中心的脑神经外科医生,也是神经外科和脊柱专科顾问,同时也在马大医学院教课。

 

 

***温馨提醒:文章与广告内提及产品、服务及个案仅供参考,不能作为看诊依据,必要仍须以医生的意见为主。

文章来源:
星洲日报 · 2018.06.22

评论




医识力

以「服务、实用、互动」为目标,同时提供五大服务范围:(一)提供医学须知; (二)提供医院、科系指南(; 三) 指导养生、防病、治疗的选择参考; (四)透过医疗讲座与读者面对面交流; (五)回答读者的医疗/用药等问题。



Baidu
map